電話番号をタップしてください

×

セラミック治療の症例一覧

Cases

セラミック治療の症例

六本木しらゆり歯科のセラミック治療(審美歯科)症例一覧ページです。オールセラミッククラウン・ジルコニアクラウン・ブリッジ・インレーなど、治療例をご紹介しております。

歯をほぼ削らない!接着ブリッジとホワイトニングで自然な笑顔へ

歯をほぼ削らない!接着ブリッジとホワイトニングで自然な笑顔へ ビフォー 歯をほぼ削らない!接着ブリッジとホワイトニングで自然な笑顔へ アフター

8年前に治療した差し歯が変色し、見た目を改善したいとご来院されました。

この症例の詳細

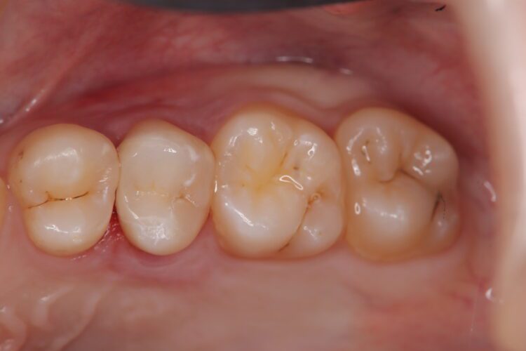
定期健診で発見した虫歯をセラミックで修復

定期健診で発見した虫歯をセラミックで修復 ビフォー 定期健診で発見した虫歯をセラミックで修復 アフター

定期健診でご通院していただいている患者様です。

この症例の詳細

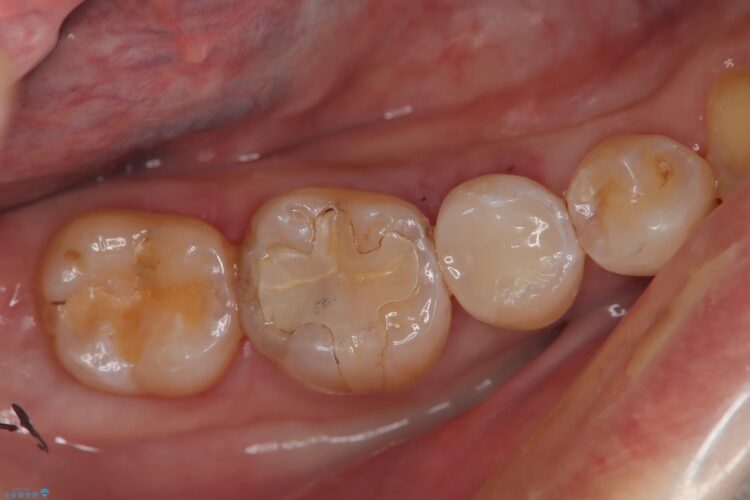
虫歯で穴のあいた歯 セラミックで修復

虫歯で穴のあいた歯 セラミックで修復 ビフォー 虫歯で穴のあいた歯 セラミックで修復 アフター

歯がしみるとご相談にいらっしゃった患者様です。

この症例の詳細

フロスがちぎれて取れない 他院で治療した歯の凹みを改善

フロスがちぎれて取れない 他院で治療した歯の凹みを改善 ビフォー フロスがちぎれて取れない 他院で治療した歯の凹みを改善 アフター

フロスが歯と歯の間に挟まり取れないとご来院された患者様です。

この症例の詳細

親知らずが痛むと思ったら別の部位に虫歯を発見

親知らずが痛むと思ったら別の部位に虫歯を発見 ビフォー 親知らずが痛むと思ったら別の部位に虫歯を発見 アフター

親知らずの痛みを主訴にご来院された患者様です。

この症例の詳細

即日セラミック修復でメタルフリー

即日セラミック修復でメタルフリー ビフォー 即日セラミック修復でメタルフリー アフター

メタルフリーにしたいとご来院された患者様です。

この症例の詳細

テトラサイクリン歯をラミネートべニアでやり替え

テトラサイクリン歯をラミネートべニアでやり替え ビフォー テトラサイクリン歯をラミネートべニアでやり替え アフター

10年以上前に施術したラミネートベニアが欠けてしまい、その後のプラスチック修復の見た目が気になるとご来院されました。

この症例の詳細

乱ぐい歯の虫歯治療

乱ぐい歯の虫歯治療 ビフォー 乱ぐい歯の虫歯治療 アフター

ガタつきのある奥歯(乱ぐい歯)の虫歯を治したいとご来院された患者様です。

この症例の詳細

かぶせ物が外れたまま放置されていた歯を修復

かぶせ物が外れたまま放置されていた歯を修復 ビフォー かぶせ物が外れたまま放置されていた歯を修復 アフター

歯のかぶせ物が外れてしまったとご来院されました。

この症例の詳細

虫歯を即日セラミック治療

虫歯を即日セラミック治療 ビフォー 虫歯を即日セラミック治療 アフター

虫歯が複数あり、なるべく来院回数を減らした治療がしたいとご希望の患者様でした。

この症例の詳細

セラミック治療の注意事項(リスク・副作用など)

無料相談予約

Reservation