親知らずが痛むと思ったら別の部位に虫歯を発見
治療概要
- 治療期間
- 1ヶ月
- 治療回数
- 2~5回
- 概算治療費
- 7.7万円
※費用は治療当時の料金となります - 担当医
- 高悠莉
治療動機
親知らずの痛みを主訴にご来院された患者様です。
治療計画
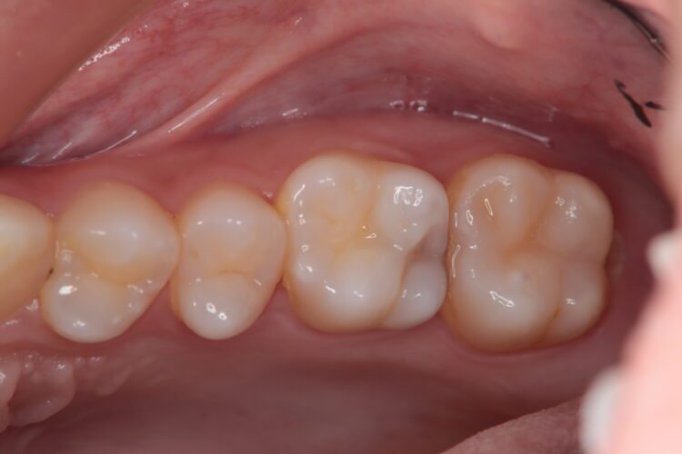
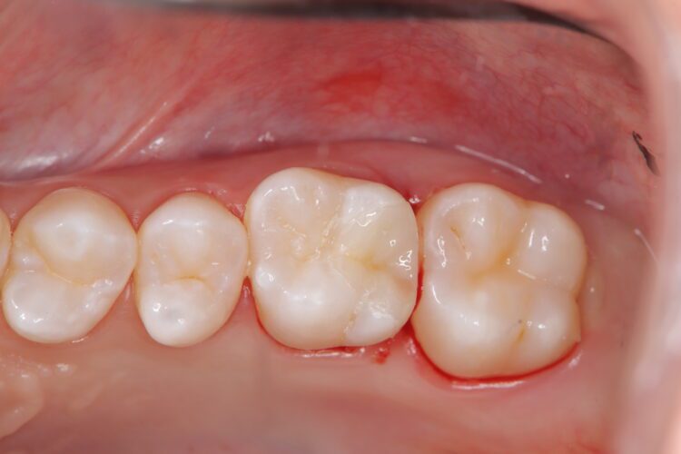
口腔内を全体的に確認したところ、症状はなかったのですが別の部位に大きな虫歯を発見しました。
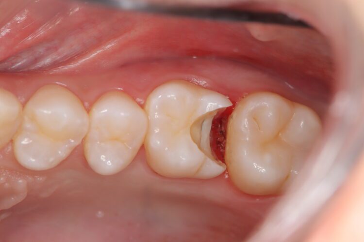
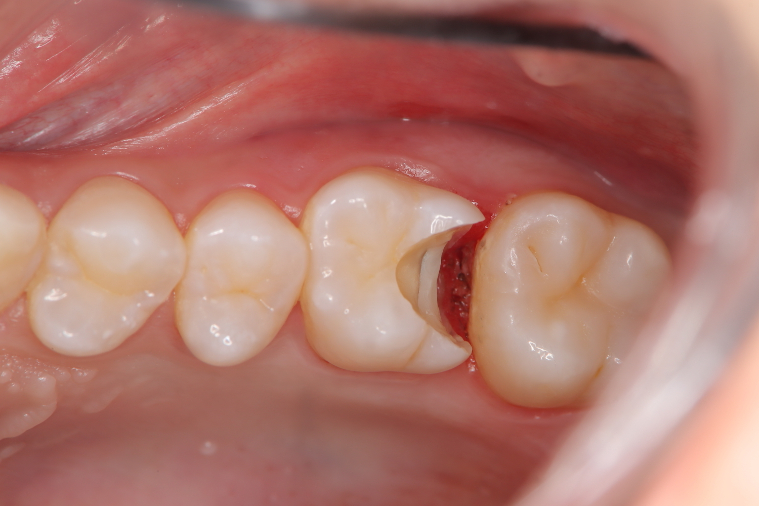
外側からは見えない部分に穴が開いており、そこに歯肉が一部入り込んでいる状態でした。そのため、親知らずに対しては消毒・投薬を行い、親知らずの抜歯よりも先に虫歯治療を、再発の少ないセラミックインレーにて治療いたしました。
治療後について
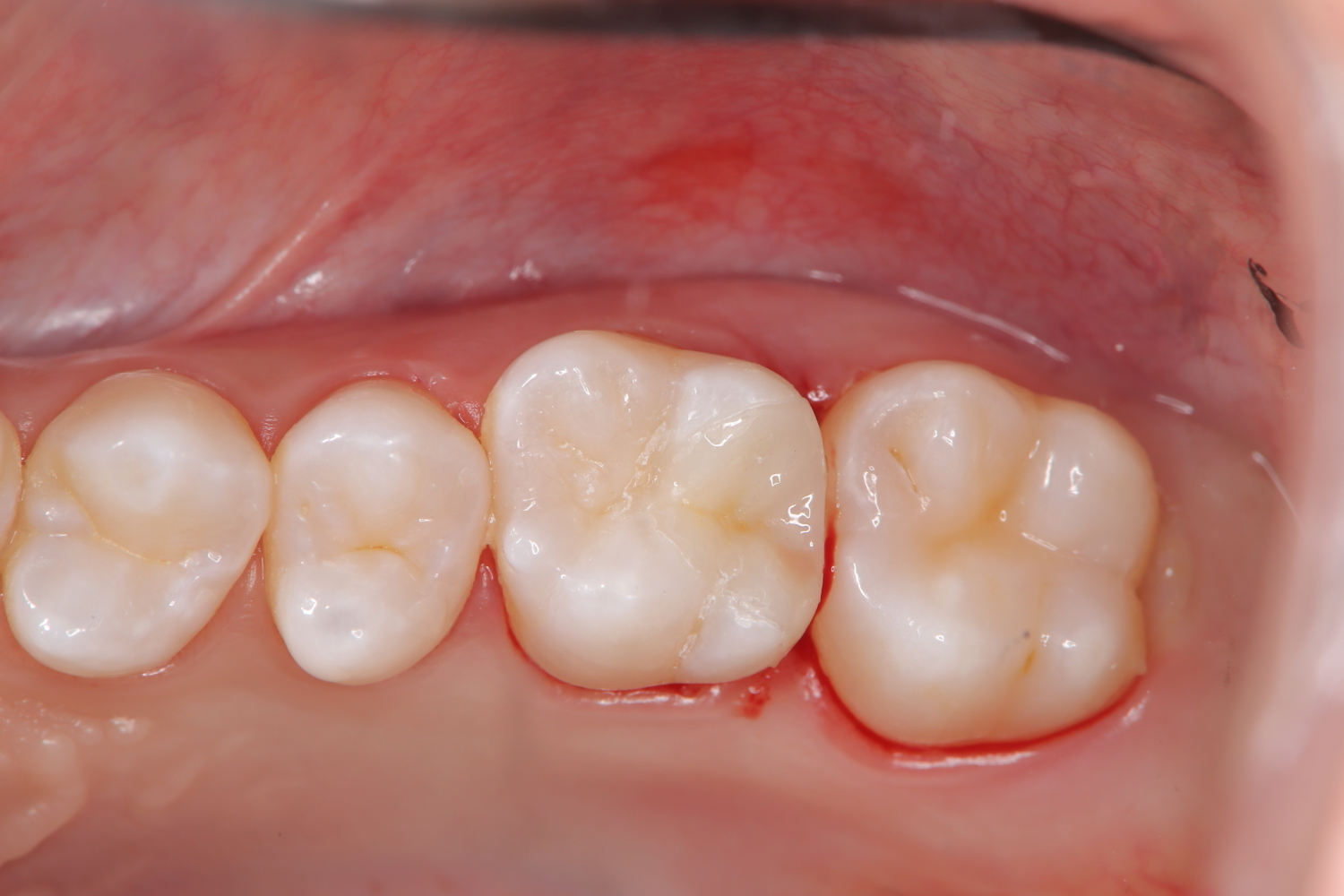
術後の経過は良好です。
虫歯は痛いのか、見た目でわかるのか
虫歯の大きさと、実際の痛みの有無は必ずしも相関はありません。少しの大きさでしみる症状がある方もいれは、神経まで到達するほどの大きさでも一度も痛くならない方もおられます。また、見た目も様々で、必ずしも見えやすい部位が黒く、また穴が開いているとも限りません。しばらく歯科にかかっていらっしゃらない方は、是非プロの目でチェックしてもらって下さい。
セラミック治療の注意事項(リスク・副作用など)
- 天然歯を削ります
- 硬い素材は天然歯を傷つけてしまう場合があります
- かみ合わせや歯ぎしりが強すぎる方はセラミックが割れてしまう可能性があります
- 自費診療(保険適用外治療)となります
術後の経過は良好です。
虫歯の大きさと、実際の痛みの有無は必ずしも相関はありません。少しの大きさでしみる症状がある方もいれは、神経まで到達するほどの大きさでも一度も痛くならない方もおられます。また、見た目も様々で、必ずしも見えやすい部位が黒く、また穴が開いているとも限りません。しばらく歯科にかかっていらっしゃらない方は、是非プロの目でチェックしてもらって下さい。


