フロスがちぎれて取れない 他院で治療した歯の凹みを改善
治療概要
- 治療期間
- 3ヶ月
- 治療回数
- 2~5回
- 概算治療費
- 12万円
※費用は治療当時の料金となります - 担当医
- 高悠莉
治療動機
フロスが歯と歯の間に挟まり取れないとご来院された患者様です。
治療計画
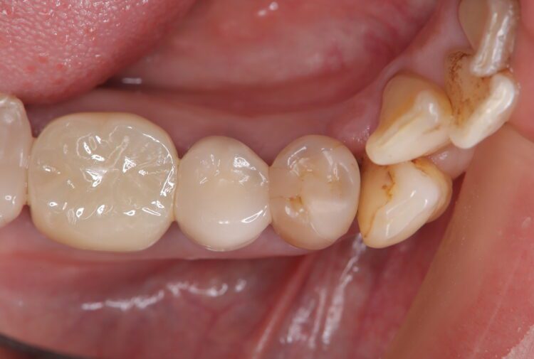
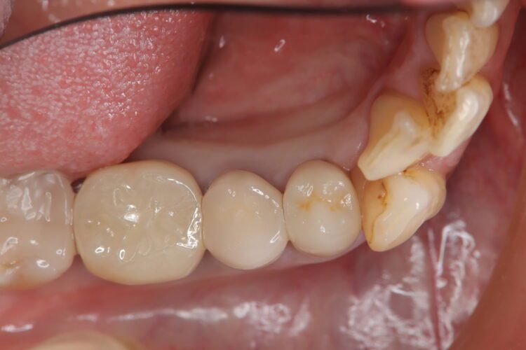
以前他院で治療された部分に凹みがあり、そこにフロスが引っかかってちぎれるという問題が生じていました。この根本的な原因を解決するため、被せ物・詰め物を新しく作り直す治療を提案・実施しました。
治療後について
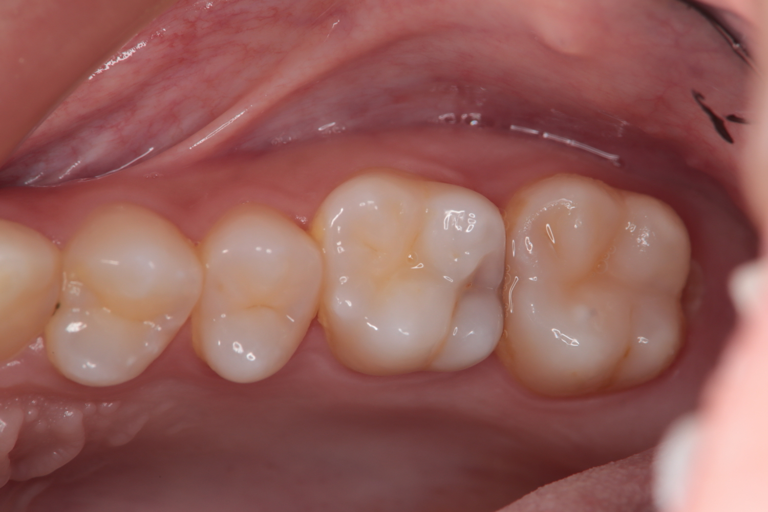
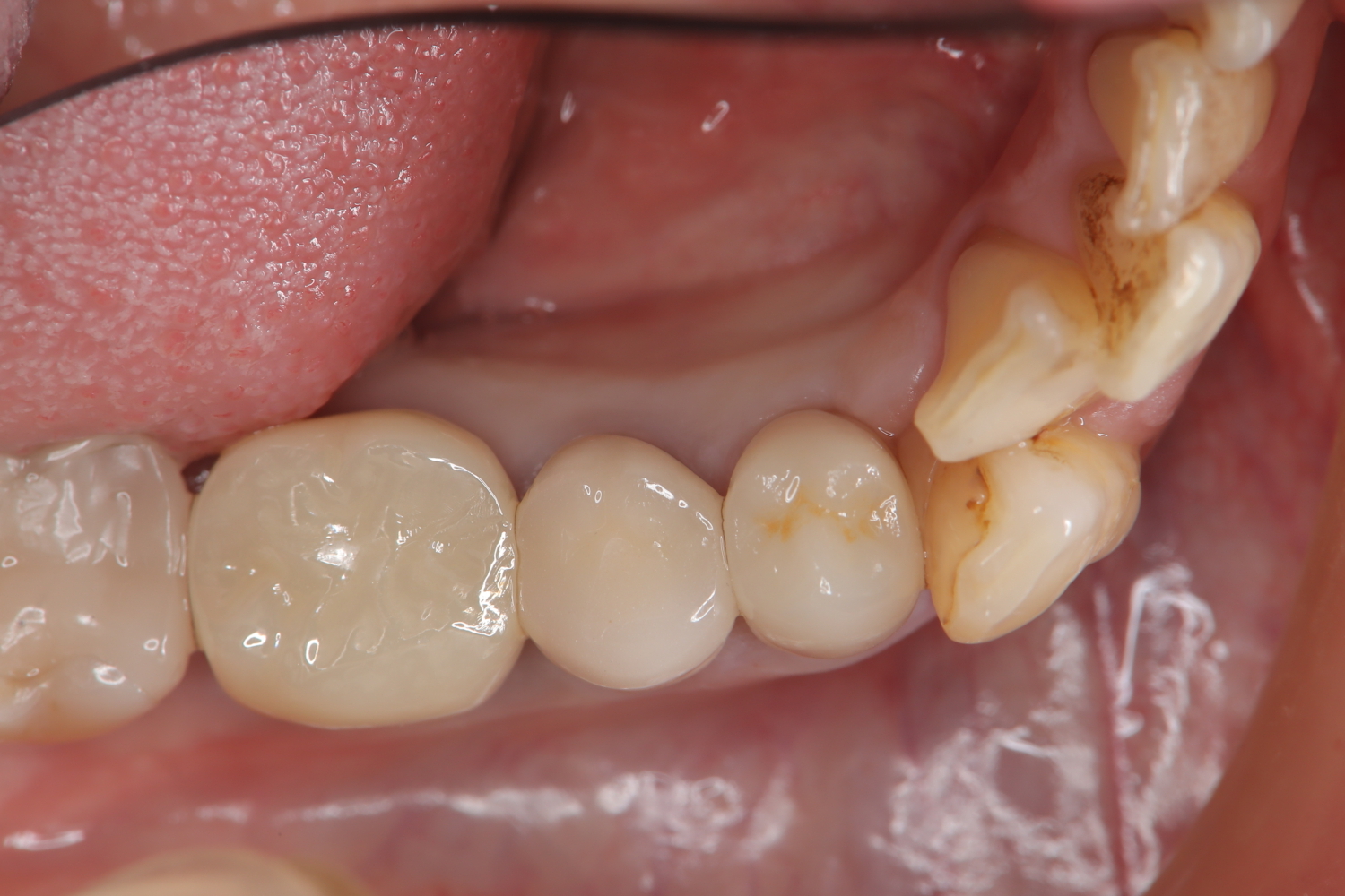
現在はフロスでの清掃が大変スムーズになり、経過も良好です。
セラミック治療の注意事項(リスク・副作用など)
- 天然歯を削ります
- 硬い素材は天然歯を傷つけてしまう場合があります
- かみ合わせや歯ぎしりが強すぎる方はセラミックが割れてしまう可能性があります
- 自費診療(保険適用外治療)となります
現在はフロスでの清掃が大変スムーズになり、経過も良好です。



