歯をほぼ削らない!接着ブリッジとホワイトニングで自然な笑顔へ
治療概要
- 治療期間
- 1ヶ月
- 治療回数
- 2~5回
- 概算治療費
- 30.14万円
※費用は治療当時の料金となります - 担当医
- 高悠莉
治療動機
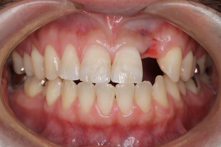
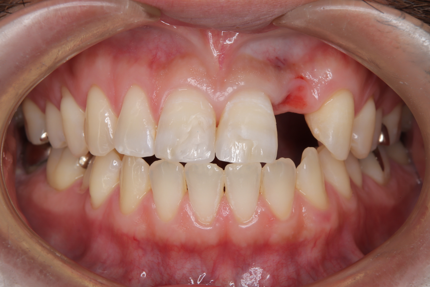
8年前に治療した差し歯が変色し、見た目を改善したいとご来院されました。
治療計画
左上2番の歯を失ってから時間が経過し骨が少なくなっていたため、インプラントや通常のブリッジ治療にはそれぞれ課題がありました。そこで患者様と綿密に相談し、噛み合わせの負担が少ないことを確認したうえで、天然歯へのダメージを最小限に抑えることができる接着ブリッジで修復を行いました。
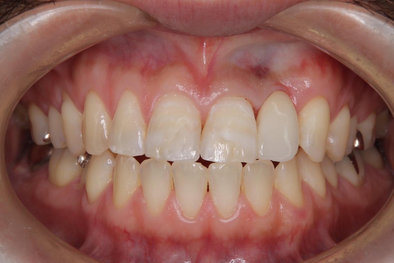
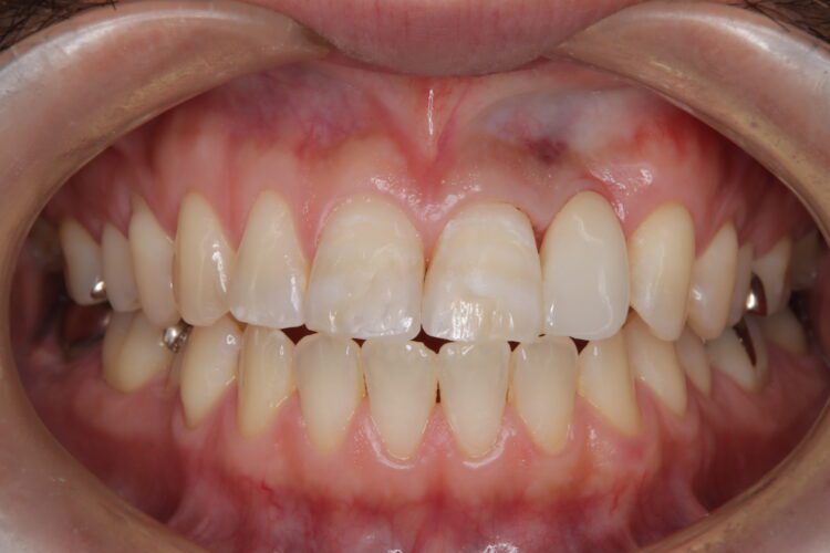
全体的に白くするために、セラミックをセットする前にホワイトニングを行いました。
治療後について
術後は審美的に優れたセラミックが入り、ご満足いただけました。
セラミック治療の注意事項(リスク・副作用など)
- 天然歯を削ります
- 硬い素材は天然歯を傷つけてしまう場合があります
- かみ合わせや歯ぎしりが強すぎる方はセラミックが割れてしまう可能性があります
- 自費診療(保険適用外治療)となります
ホワイトニングの注意事項(リスク・副作用など)
- 知覚過敏が出ることがあります
- ホワイトバンドや白い斑点が出ることがあります
- クラウンやインレー等の補綴物には効果がありません
- ホワイトニングによる効果や持続期間には個人差があります
- 歯牙の状態によっては適応できないことがあります
- 保険適用外となります
術後は審美的に優れたセラミックが入り、ご満足いただけました。


