即日セラミック修復でメタルフリー
治療概要
- 治療期間
- 1日
- 治療回数
- 1回
- 概算治療費
- 16.5万円
※費用は治療当時の料金となります - 担当医
- 高悠莉
治療動機
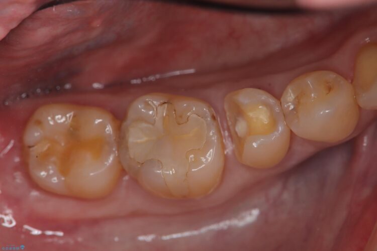
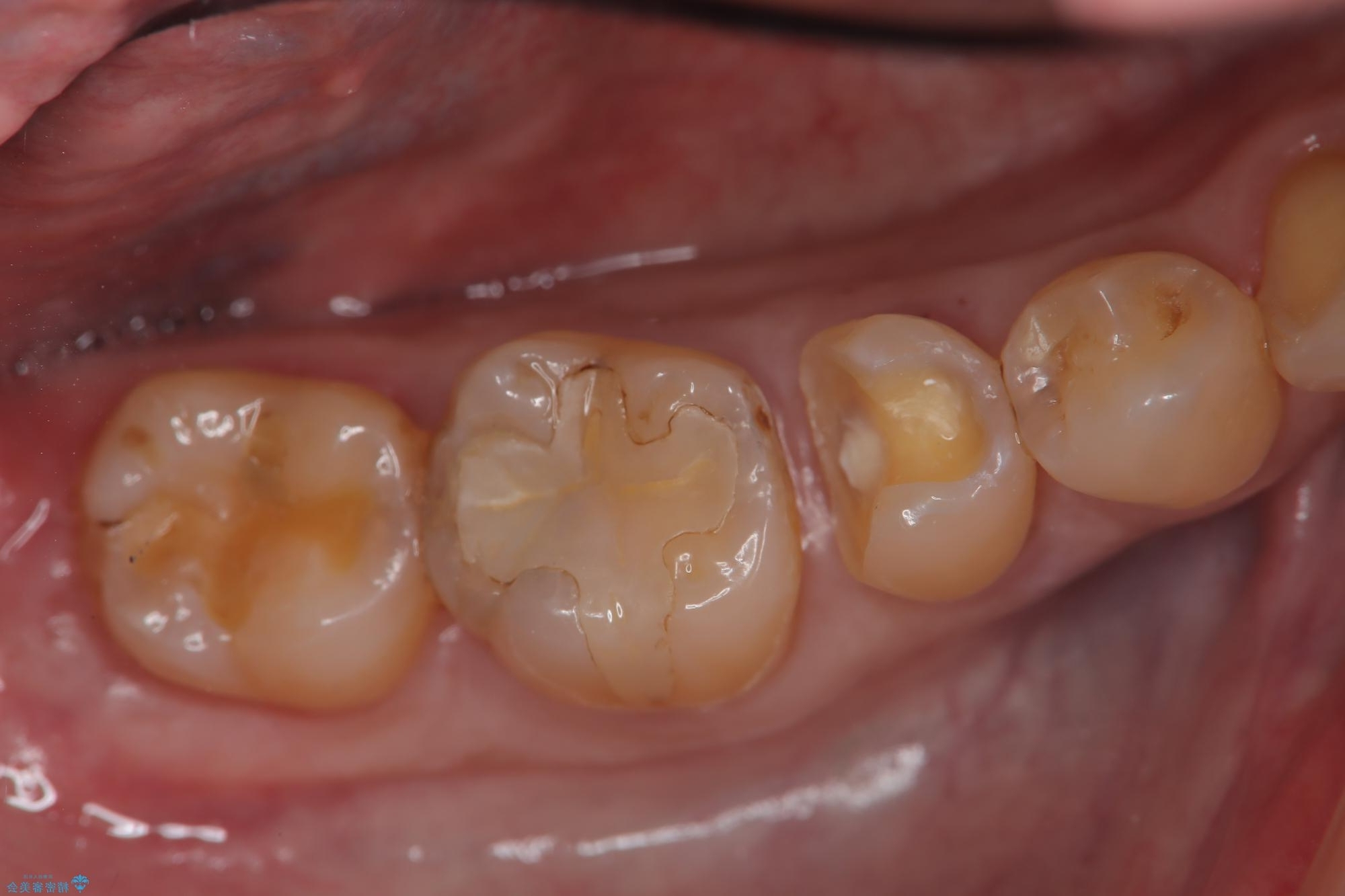
メタルフリーにしたいとご来院された患者様です。
治療計画
レントゲン検査の結果、古い金属の詰め物の内部に二次的な虫歯が見つかりました。
この虫歯を完全に除去した後、その日のうちに精密なセラミックインレーに替える治療を行いました。術後の経過も良好です。
セラミック治療の注意事項(リスク・副作用など)
- 天然歯を削ります
- 硬い素材は天然歯を傷つけてしまう場合があります
- かみ合わせや歯ぎしりが強すぎる方はセラミックが割れてしまう可能性があります
- 自費診療(保険適用外治療)となります


