定期健診で発見した虫歯をセラミックで修復
治療概要
- 治療期間
- 1ヶ月
- 治療回数
- 2~5回
- 概算治療費
- 7.7万円
※費用は治療当時の料金となります - 担当医
- 高悠莉
治療動機
定期健診でご通院していただいている患者様です。
治療計画
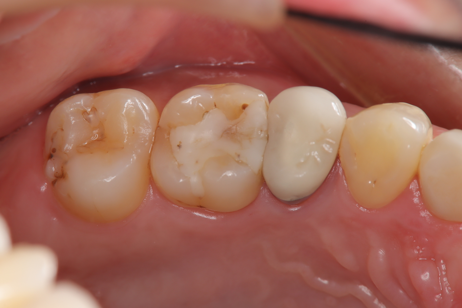
古くなった詰め物は、内部で虫歯になるリスクがあったため、定期的にチェックしていました。
一部虫歯になっているのが確認されたため、虫歯をきれいに除去したうえで、適合性の高いセラミックインレーに交換しました。
治療後について
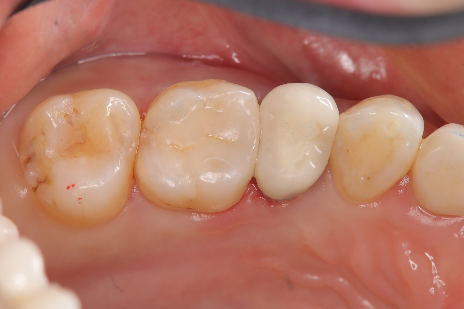
術後のも不快症状等なく、結果は良好です。
セラミック治療の注意事項(リスク・副作用など)
- 天然歯を削ります
- 硬い素材は天然歯を傷つけてしまう場合があります
- かみ合わせや歯ぎしりが強すぎる方はセラミックが割れてしまう可能性があります
- 自費診療(保険適用外治療)となります
術後のも不快症状等なく、結果は良好です。


