虫歯を即日セラミック治療
治療概要
- 治療期間
- 1日
- 治療回数
- 1回
- 概算治療費
- 33万円
※費用は治療当時の料金となります - 担当医
- 高悠莉
治療動機
虫歯が複数あり、なるべく来院回数を減らした治療がしたいとご希望の患者様でした。
治療計画
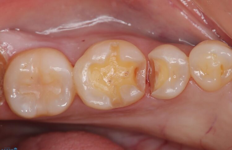
本症例では修復治療の施された金属の詰め物の下と隣接する歯に虫歯を認めました。
患者様のご希望から、当院で行っている1日で完了する1Dayセラミック治療を行うこととしました。
治療後について
当院では光学スキャナ・ミリングマシンのセレック(CEREC)を設置しておりますので、歯科医院への来院回数を減らしたい、短時間(最短1日)で被せ物・詰め物の治療をしたい、シリコーンによる印象採得(歯型取り)が苦手と考える方に1Dayセラミック治療はおすすめです。
術後の経過も良好で、患者様にはご満足いただけました。
MarkⅡ材料を使用した修復治療メリット
レントゲン画像(治療前)を見ていただくと、金属の詰め物は真っ白に映っています。そのため詰め物の下にある虫歯が分かりにくく見逃してしまう可能性があります。
ですが、レントゲン写真(治療後)からもわかる通り、本症例で使用したMarkⅡという材料は歯の一番外側の部分(エナメル質)と同程度のX線透過性を持ち、歯質と同程度の色の濃さで反映されます。それにより装着後も定期的なメンテナンスにより虫歯の再発を早期に発見できるメリットがあります。
セラミック治療の注意事項(リスク・副作用など)
- 天然歯を削ります
- 硬い素材は天然歯を傷つけてしまう場合があります
- かみ合わせや歯ぎしりが強すぎる方はセラミックが割れてしまう可能性があります
- 自費診療(保険適用外治療)となります
当院では光学スキャナ・ミリングマシンのセレック(CEREC)を設置しておりますので、歯科医院への来院回数を減らしたい、短時間(最短1日)で被せ物・詰め物の治療をしたい、シリコーンによる印象採得(歯型取り)が苦手と考える方に1Dayセラミック治療はおすすめです。
術後の経過も良好で、患者様にはご満足いただけました。
レントゲン画像(治療前)を見ていただくと、金属の詰め物は真っ白に映っています。そのため詰め物の下にある虫歯が分かりにくく見逃してしまう可能性があります。
ですが、レントゲン写真(治療後)からもわかる通り、本症例で使用したMarkⅡという材料は歯の一番外側の部分(エナメル質)と同程度のX線透過性を持ち、歯質と同程度の色の濃さで反映されます。それにより装着後も定期的なメンテナンスにより虫歯の再発を早期に発見できるメリットがあります。






