インビザラインで受け口を治したい
治療概要
- 治療期間
- 8ヶ月
- 治療回数
- 5~10回
- 概算治療費
- 66万円
※費用は治療当時の料金となります - 担当医
- 高悠莉
治療動機
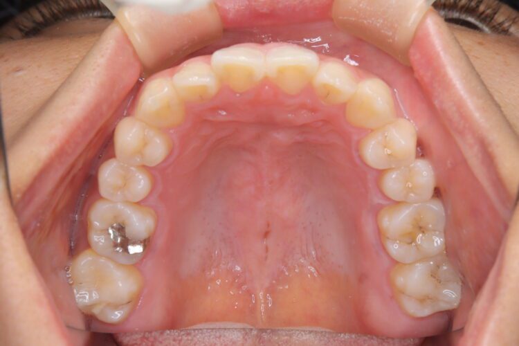
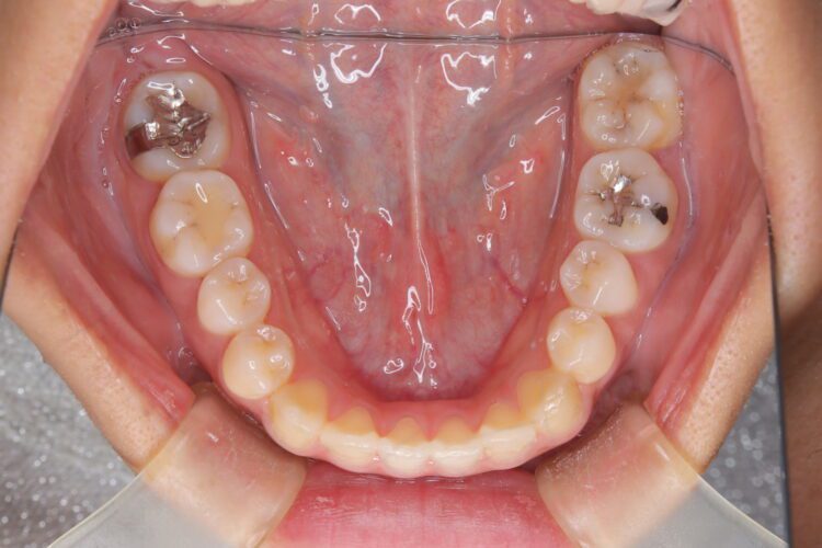
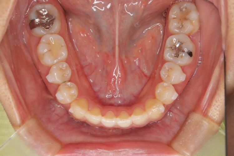
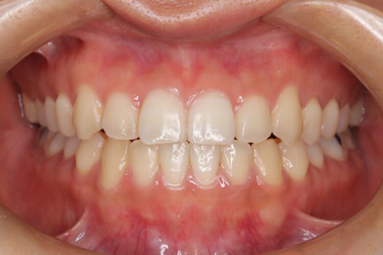
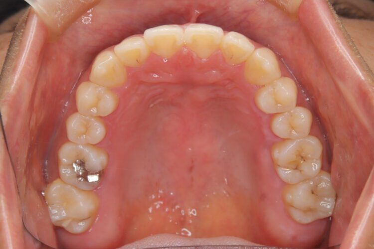
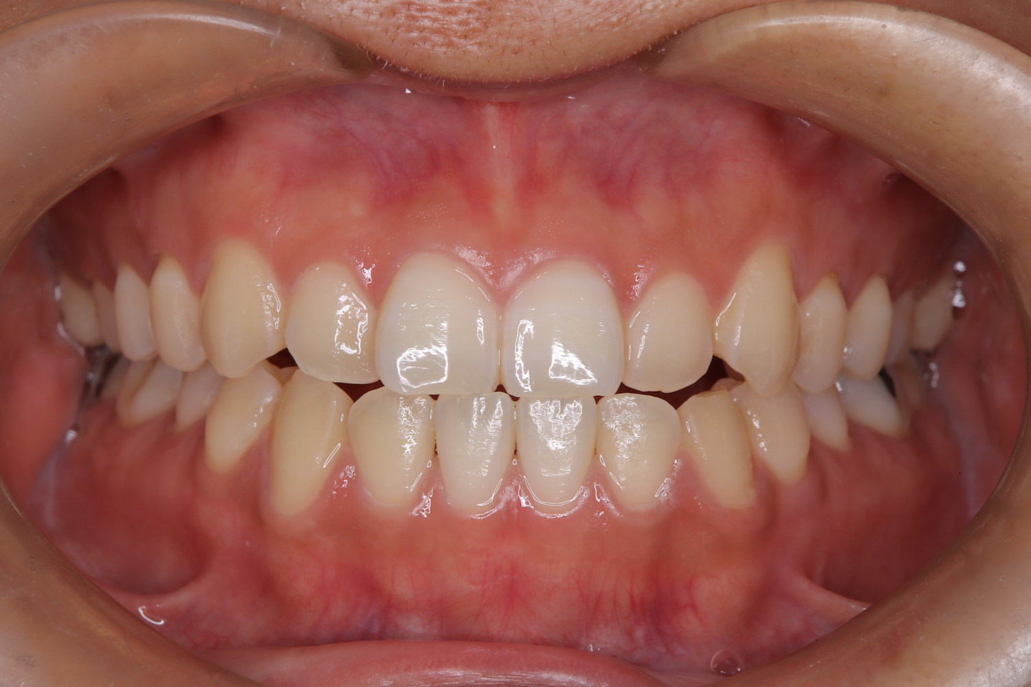
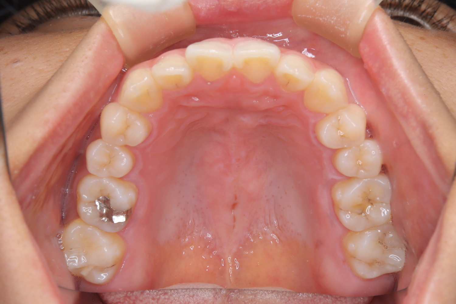
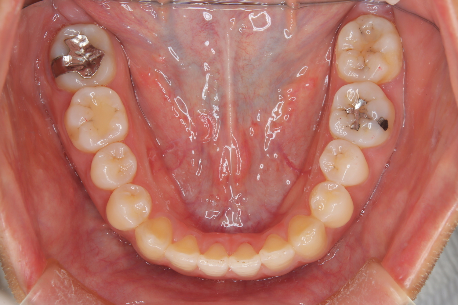
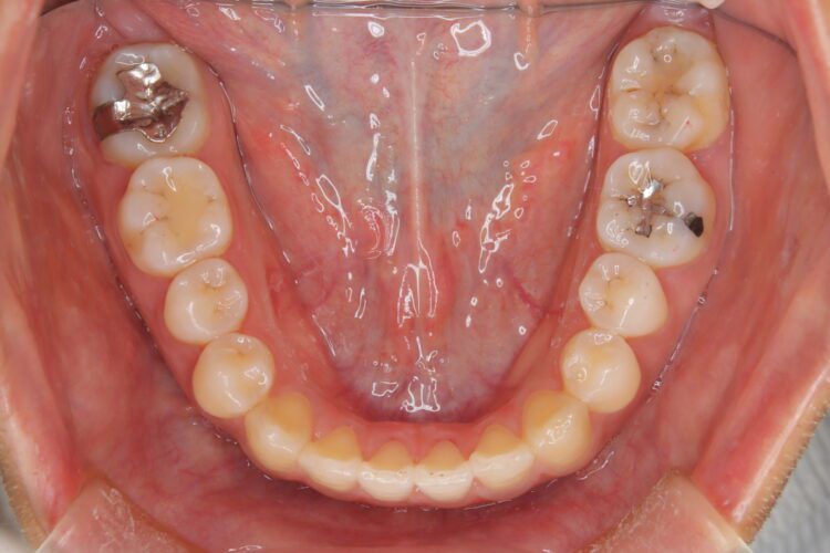
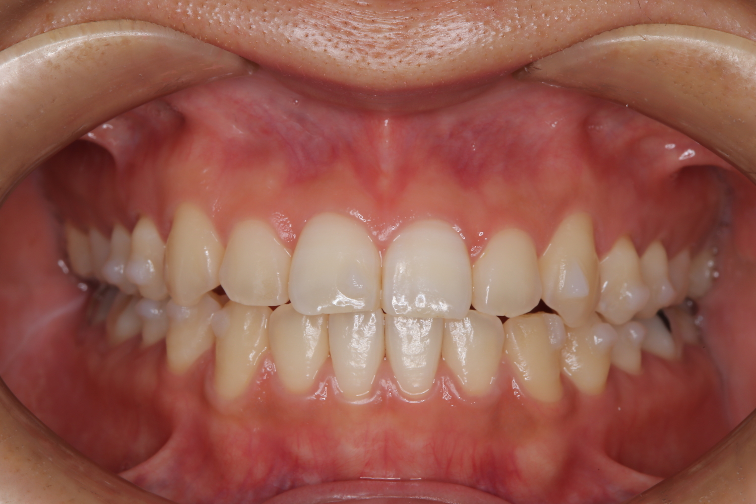
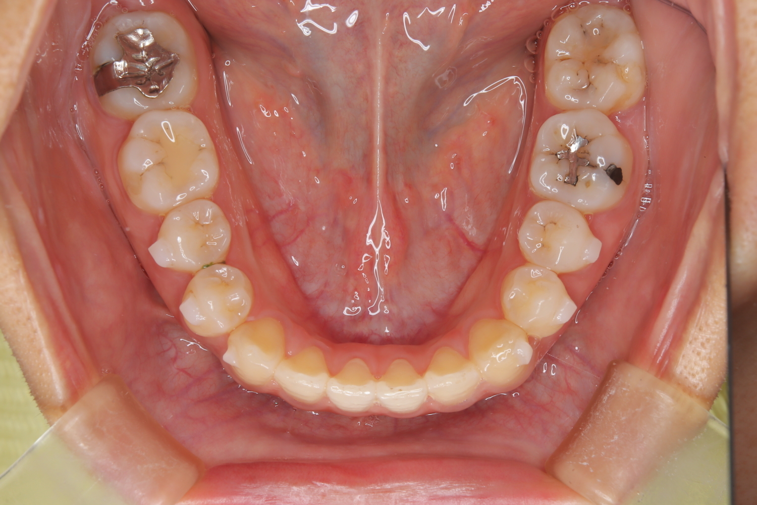
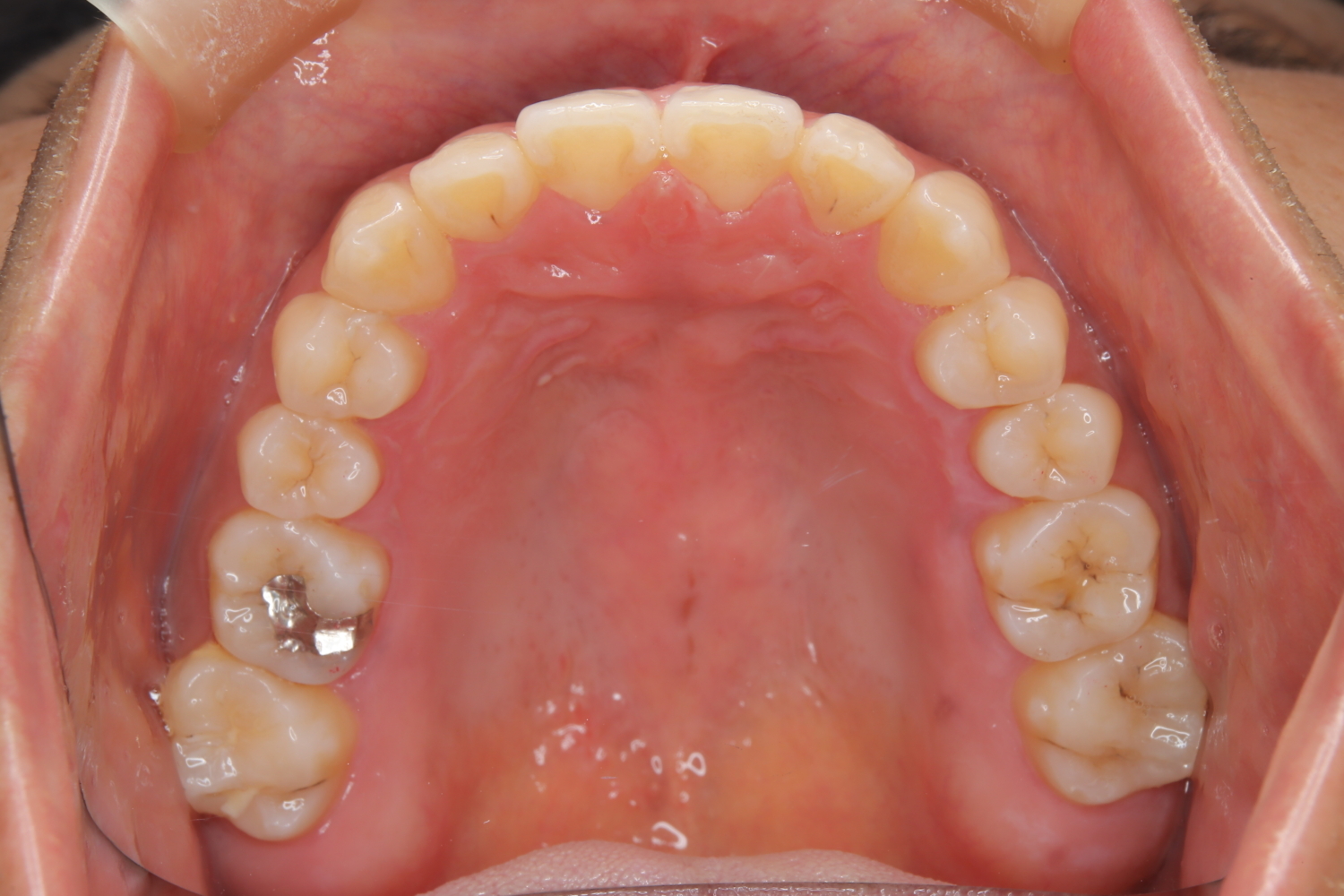
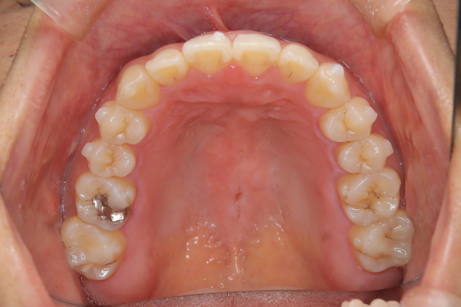
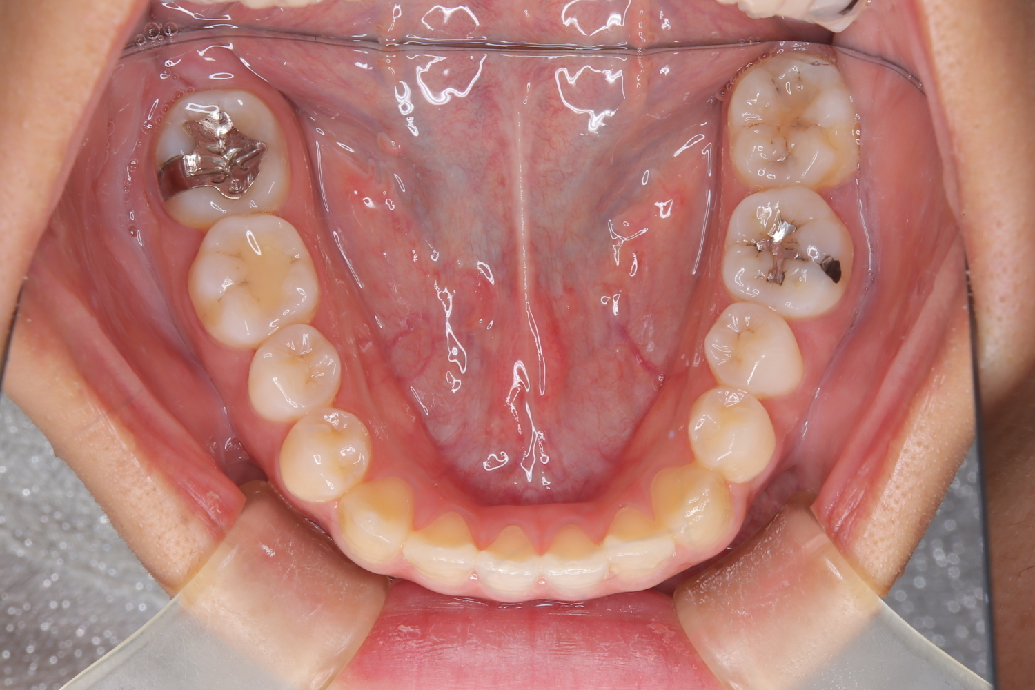
受け口の改善を主訴にご来院された患者様です。
治療計画
軽度の下顎前突と診断し、マウスピース矯正装置(インビザライン)を用いて治療を行うこととしました。
治療後について
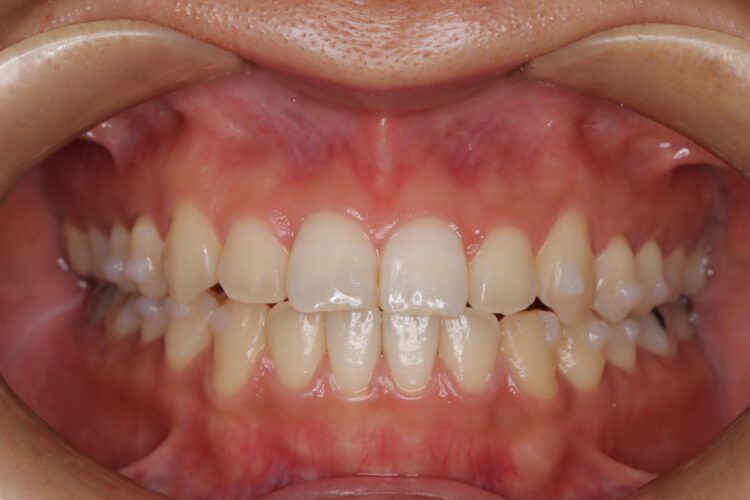
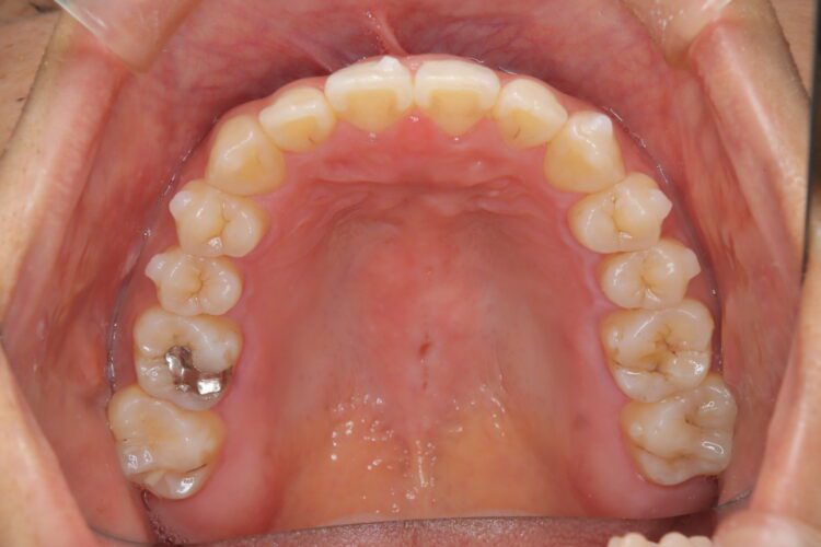
治療の際はゴム掛けが必要になりましたが、患者様が非常に真面目に使用してくださったおかげで、スムーズに治療が進みました。途中の海外赴任という大きな予定変更がありましたが、そのご努力の甲斐あって、無事に渡航前に矯正を完了することができました。
マウスピース矯正の注意事項(リスク・副作用など)
- 口腔内・歯並びの状態によっては対応できない場合があります
- マウスピース型矯正装置の長時間装着(1日20時間以上)が必須です
- 治療計画通りに進めるためには、患者様の意志が重要になります
- 矯正治療後の保定が不十分だと後戻り(元の位置に戻ろうとする動き)をします
- 薬機法対象外の矯正歯科装置のため医薬品副作用被害救済制度の対象外となる場合があります
- 自費診療(保険適用外)となります
治療の際はゴム掛けが必要になりましたが、患者様が非常に真面目に使用してくださったおかげで、スムーズに治療が進みました。途中の海外赴任という大きな予定変更がありましたが、そのご努力の甲斐あって、無事に渡航前に矯正を完了することができました。








