乱ぐい歯の虫歯治療
治療概要
- 治療期間
- 1ヶ月
- 治療回数
- 2~5回
- 概算治療費
- 7.7万円(税込)
※費用は治療当時の料金となります - 担当医
- 高悠莉
治療動機
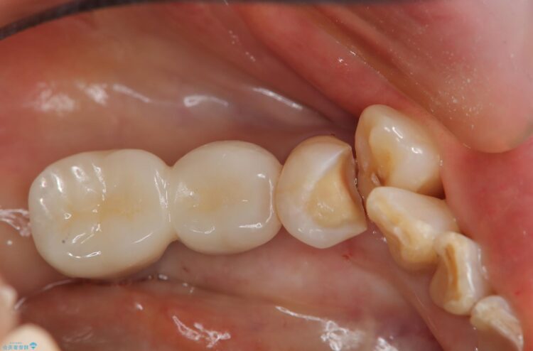
ガタつきのある奥歯(乱ぐい歯)の虫歯を治したいとご来院された患者様です。
治療計画
歯並びの複雑な箇所では、通常のプラスチック(レジン)の詰め物でぴったり正確な形を再現するのは困難です。そこで今回は、シリコンで精密な型を採り、その型をもとに精巧なセラミックインレーを作製して治療を行いました。術後にフロスがしっかりと通せるように、ラバーダム防湿を行っています。
セラミック治療の注意事項(リスク・副作用など)
- 天然歯を削ります
- 硬い素材は天然歯を傷つけてしまう場合があります
- かみ合わせや歯ぎしりが強すぎる方はセラミックが割れてしまう可能性があります
- 自費診療(保険適用外治療)となります



