欠けた前歯をセラミッククラウンで補綴治療
治療概要
- 治療期間
- 33ヶ月
- 治療回数
- 2~5回
- 概算治療費
- 25.3万円
※費用は治療当時の料金となります - 担当医
- 高悠莉
治療動機
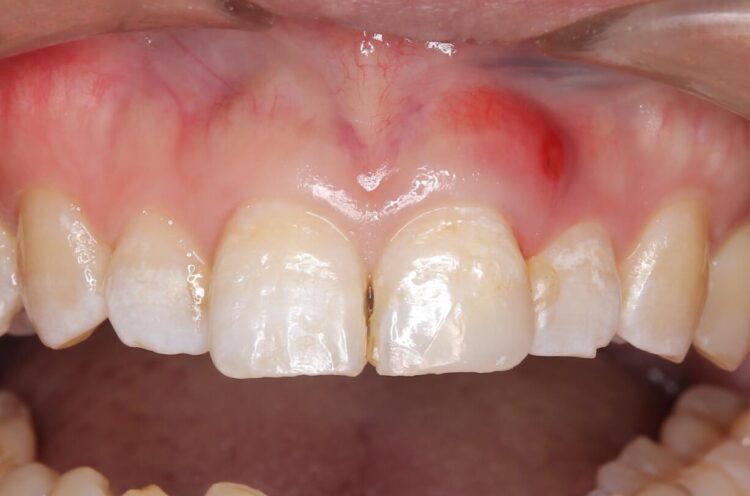
定期的に通院されている患者様です。 前歯が欠けてしまったとの主訴で来院されました。
治療計画
欠損した当日は応急での見た目の回復としてレジン充填を行いました。このままにしてしまうとまた同じようにかけてしまう可能性が高いため、後日セラミッククラウンにて修復を行うこととしました。
治療後について
前歯の特に一歯のみの色合わせは難易度が高くなります。特に周囲の歯模様がある場合は難しくなります。そのため、本症例では当院が取り扱うセラミッククラウンの中でも最もランクの高いものを選択しました。
非常にきれいで自然に仕上げることができました。
被せ物の色合わせについて
最終的なクラウンを作成する前に仮歯を用意して患者様と色味や形のすり合わせを行います。また、必要に応じて口腔内写真を製作ラボへ送信し、作り手の歯科技工士と情報共有をさせていただきます。
症例によっては診療室で直接患者様と技工士との打ち合わせの場を設けることもあります。
セラミック治療の注意事項(リスク・副作用など)
- 天然歯を削ります
- 硬い素材は天然歯を傷つけてしまう場合があります
- かみ合わせや歯ぎしりが強すぎる方はセラミックが割れてしまう可能性があります
- 自費診療(保険適用外治療)となります
前歯の特に一歯のみの色合わせは難易度が高くなります。特に周囲の歯模様がある場合は難しくなります。そのため、本症例では当院が取り扱うセラミッククラウンの中でも最もランクの高いものを選択しました。
非常にきれいで自然に仕上げることができました。
最終的なクラウンを作成する前に仮歯を用意して患者様と色味や形のすり合わせを行います。また、必要に応じて口腔内写真を製作ラボへ送信し、作り手の歯科技工士と情報共有をさせていただきます。
症例によっては診療室で直接患者様と技工士との打ち合わせの場を設けることもあります。






