テトラサイクリン歯をラミネートべニアでやり替え
治療概要
- 治療期間
- 1ヶ月
- 治療回数
- 2~5回
- 概算治療費
- 13.2万円
※費用は治療当時の料金となります - 担当医
- 高悠莉
治療動機
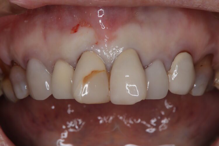
10年以上前に施術したラミネートベニアが欠けてしまい、その後のプラスチック修復の見た目が気になるとご来院されました。
治療計画
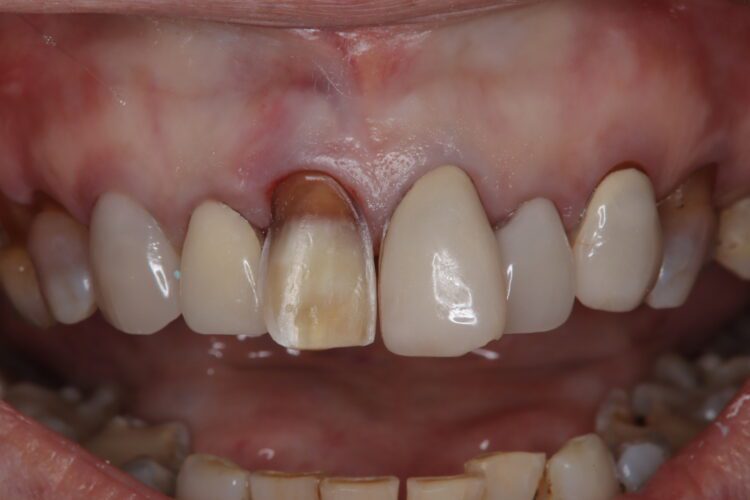
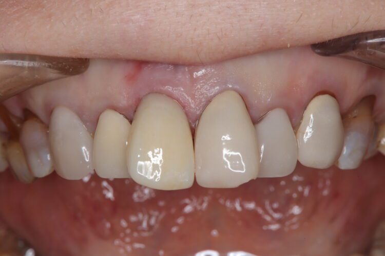
長年の使用と歯茎のラインの変化に合わせて、古いラミネートベニアをやり直しました。元々テトラサイクリン歯だったため、色の調整は大変難しかったのですが、専門の技工士と連携することで、非常に自然で美しいベニアを装着することができました。
セラミック治療の注意事項(リスク・副作用など)
- 天然歯を削ります
- 硬い素材は天然歯を傷つけてしまう場合があります
- かみ合わせや歯ぎしりが強すぎる方はセラミックが割れてしまう可能性があります
- 自費診療(保険適用外治療)となります


