後戻りした交叉咬合(クロスバイト) マウスピースで再矯正
治療概要
- 治療期間
- 1年
- 治療回数
- 5~10回
- 概算治療費
- 66万円
※費用は治療当時の料金となります - 担当医
- 高悠莉
治療動機
子供の頃に矯正治療をされたことがある患者様です。後戻りをしてしまっているとの主訴で来院されました。
治療計画
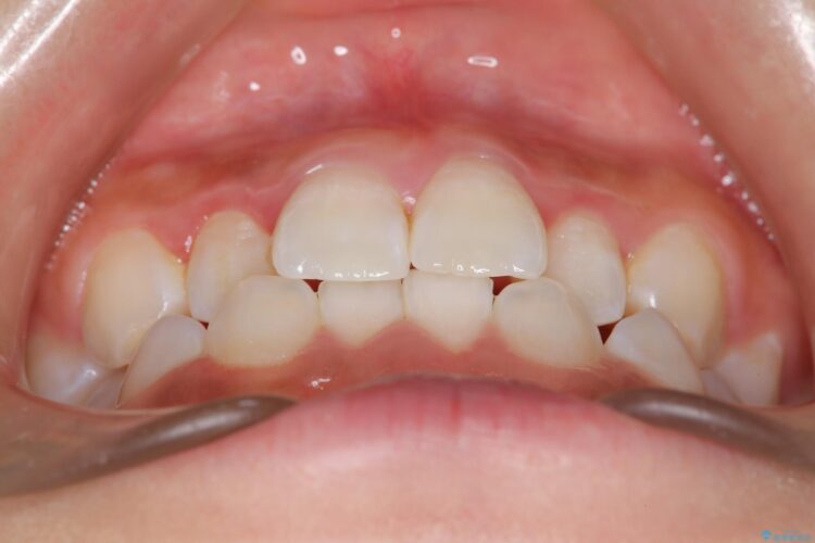
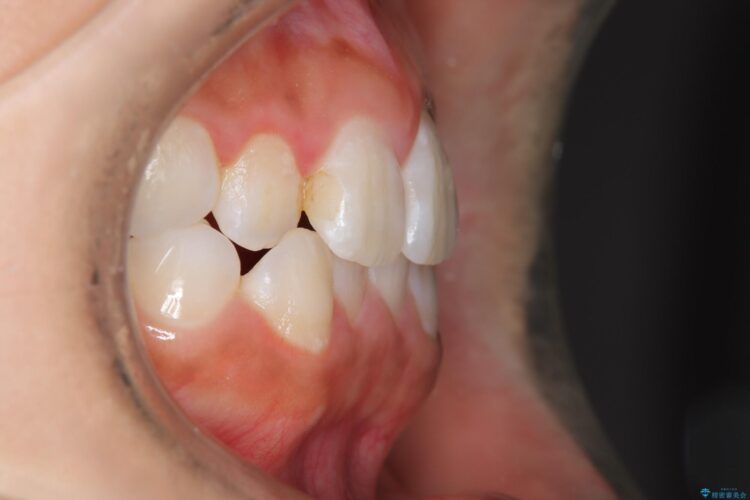
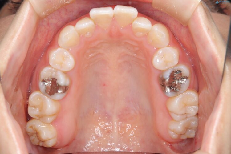
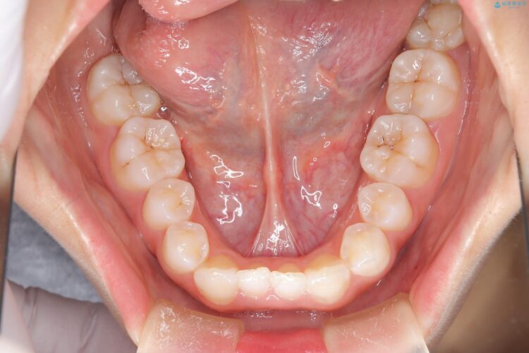
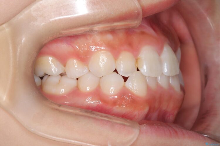
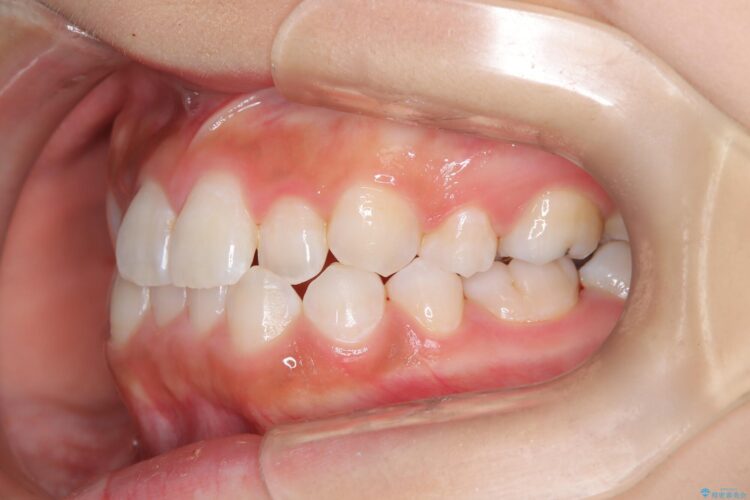
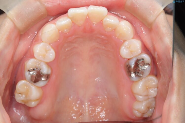
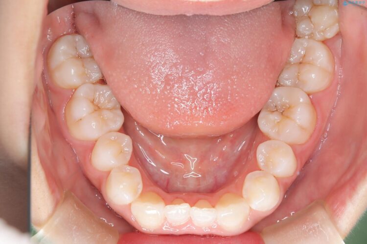
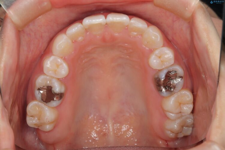
上顎左右の2番の歯が内側へ入り込んでおり、咬合時には下顎の歯よりも内へ傾斜していました。この状態のことをクロスバイトと呼びます。
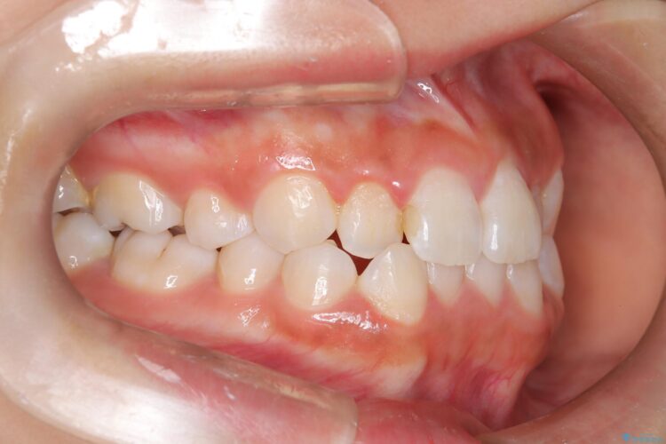
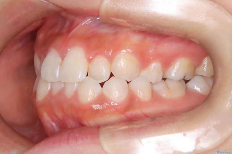
奥歯の噛み合わせは問題がなかったため前歯の歯列をマウスピース矯正にて整えていくこととしました。
治療後について
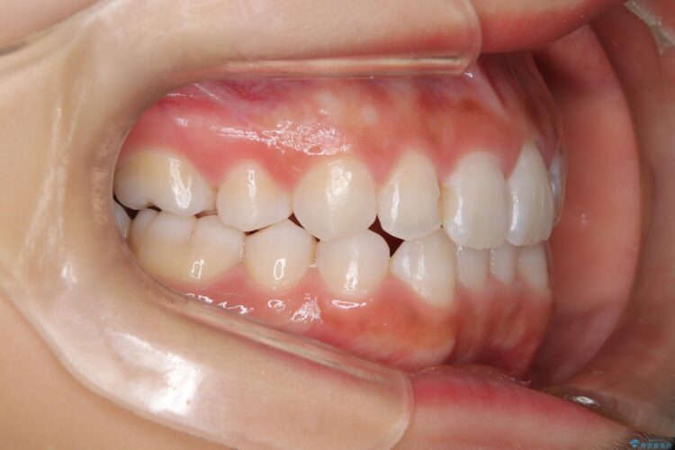
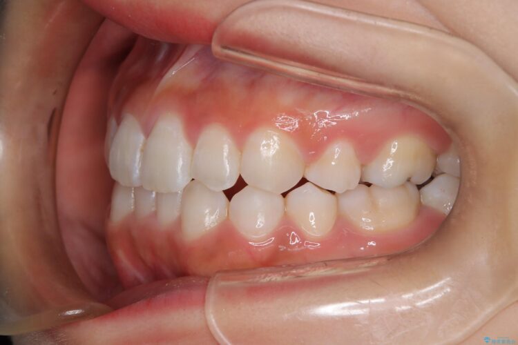
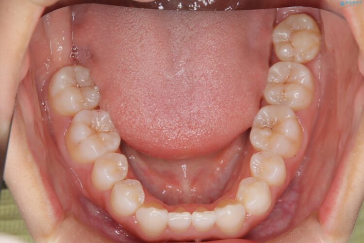
治療前と比べて上顎中央の2番の歯が咬合時に下顎前歯より内側へ入っているのが確認できます。
上顎中央の前歯も若干前突気味ではありましたが、矯正治療後には内に戻り、全体的にきれいな歯列弓となりました。
また、再度後戻りしてしまう可能性を低くするためリテーナー(保定装置)をお渡ししています。リテーナーは整えた歯列のまま固定させる装置になります。目安は半年は昼も夜も装着します。半年以降は夜のみと指示させていただくことが多いですが、症例ごとに決定していきます。これにより後戻りのリスクや再治療の可能性を減らすことができます。
マウスピース矯正の注意事項(リスク・副作用など)
- 口腔内・歯並びの状態によっては対応できない場合があります
- マウスピース型矯正装置の長時間装着(1日20時間以上)が必須です
- 治療計画通りに進めるためには、患者様の意志が重要になります
- 矯正治療後の保定が不十分だと後戻り(元の位置に戻ろうとする動き)をします
- 薬機法対象外の矯正歯科装置のため医薬品副作用被害救済制度の対象外となる場合があります
- 自費診療(保険適用外)となります
治療前と比べて上顎中央の2番の歯が咬合時に下顎前歯より内側へ入っているのが確認できます。
上顎中央の前歯も若干前突気味ではありましたが、矯正治療後には内に戻り、全体的にきれいな歯列弓となりました。
また、再度後戻りしてしまう可能性を低くするためリテーナー(保定装置)をお渡ししています。リテーナーは整えた歯列のまま固定させる装置になります。目安は半年は昼も夜も装着します。半年以降は夜のみと指示させていただくことが多いですが、症例ごとに決定していきます。これにより後戻りのリスクや再治療の可能性を減らすことができます。


















