虫歯で穴のあいた歯 セラミックで修復
治療概要
- 治療期間
- 1ヶ月
- 治療回数
- 2~5回
- 概算治療費
- 7.7万円
※費用は治療当時の料金となります - 担当医
- 高悠莉
治療動機
歯がしみるとご相談にいらっしゃった患者様です。
治療計画
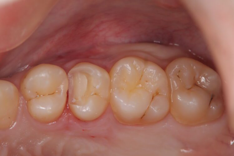
左上の奥歯(5番)が虫歯で穴があいている状態でした。虫歯は麻酔を使ってしっかり取り除き、セラミックの詰め物(インレー)で治療しました。
治療後について
周囲の歯に色が自然に馴染み美しい仕上がりとなりました。術後の経過も良好です。
セラミック治療の注意事項(リスク・副作用など)
- 天然歯を削ります
- 硬い素材は天然歯を傷つけてしまう場合があります
- かみ合わせや歯ぎしりが強すぎる方はセラミックが割れてしまう可能性があります
- 自費診療(保険適用外治療)となります
周囲の歯に色が自然に馴染み美しい仕上がりとなりました。術後の経過も良好です。


